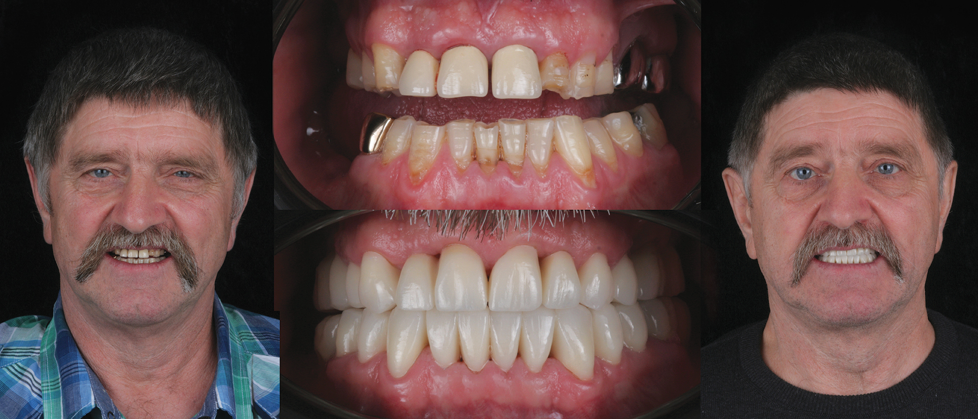
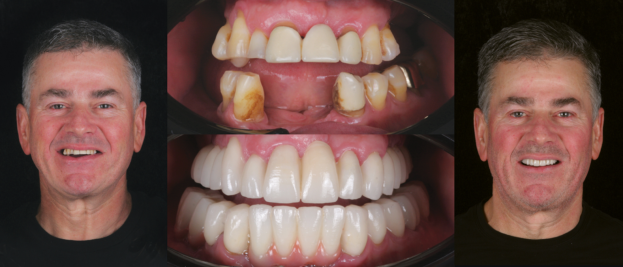
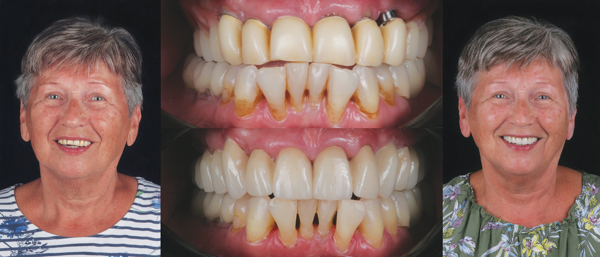
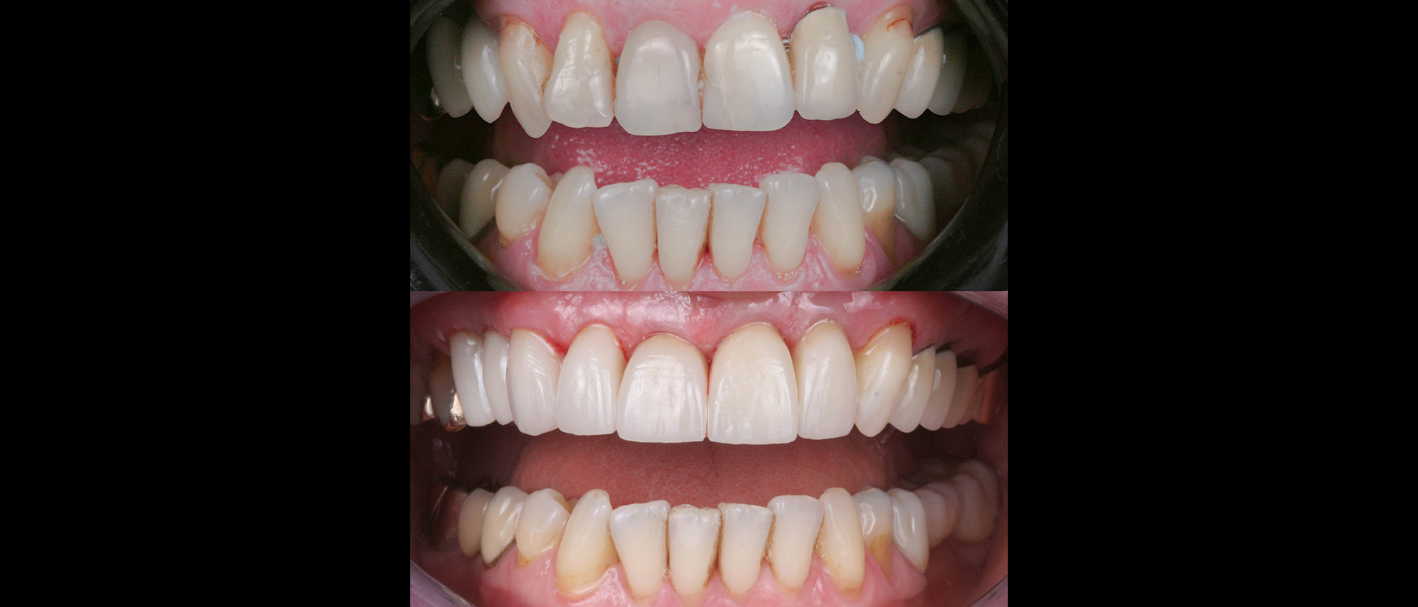
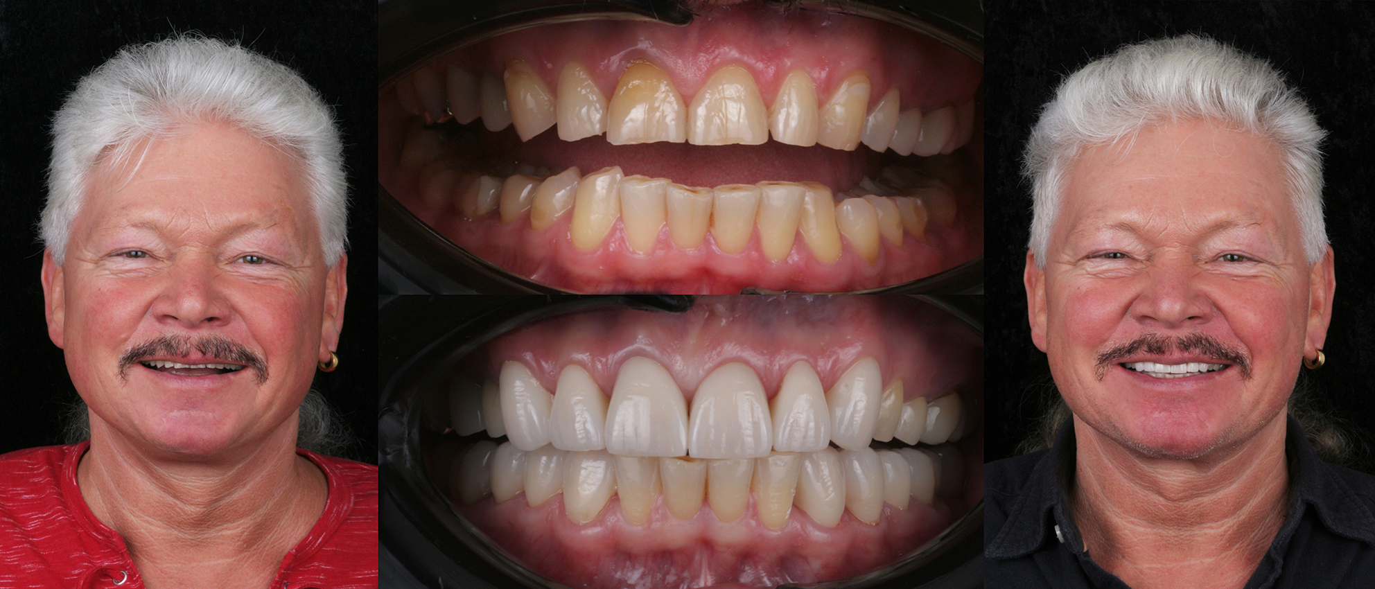
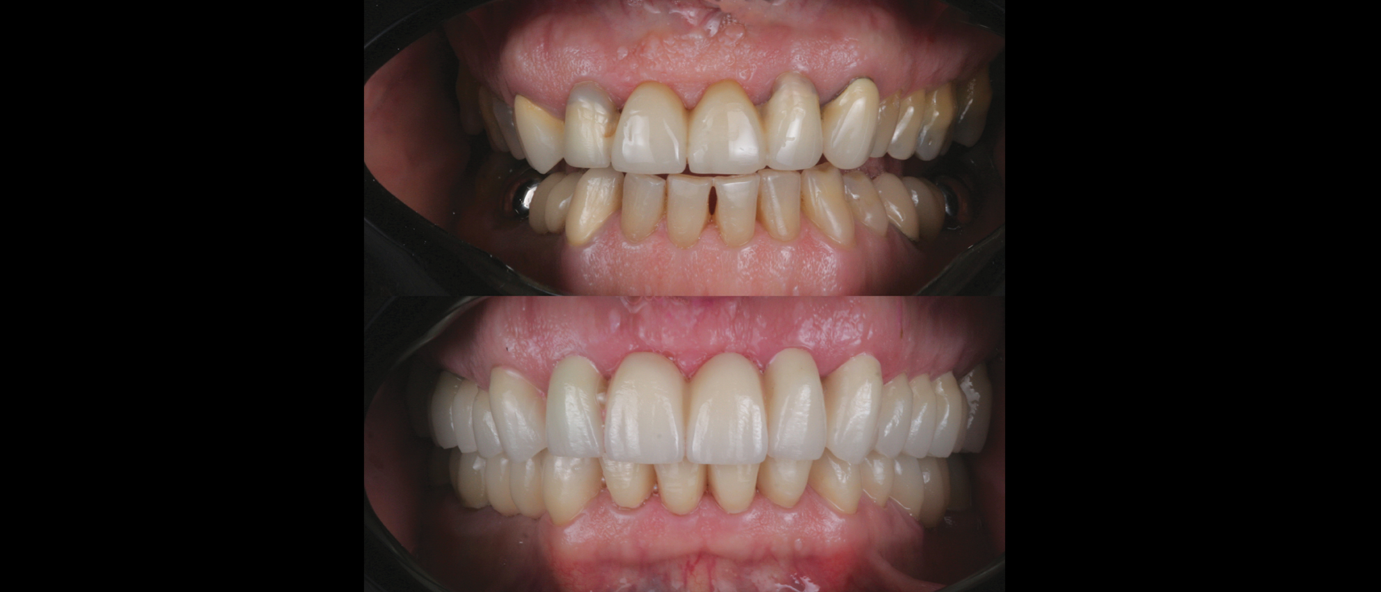
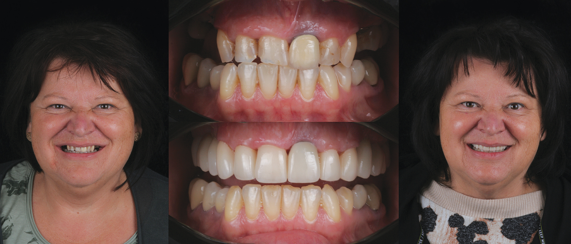
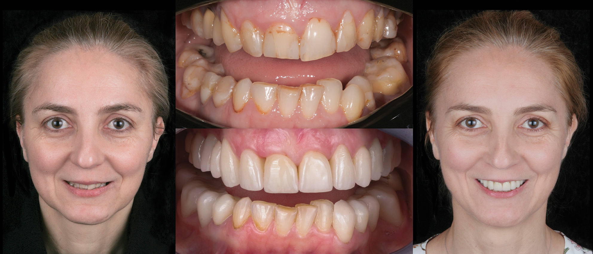
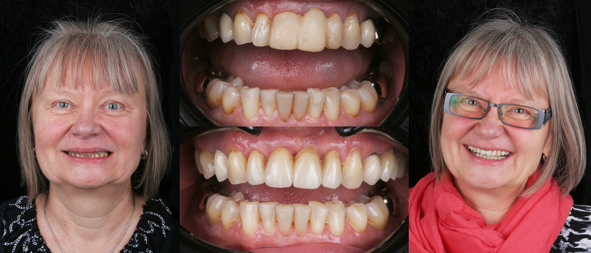
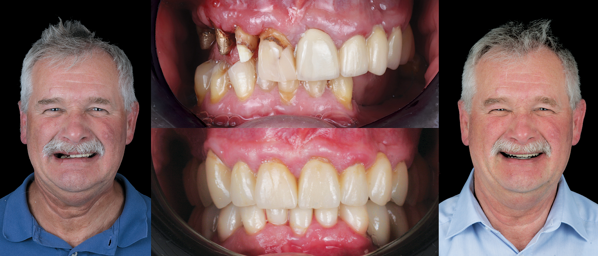
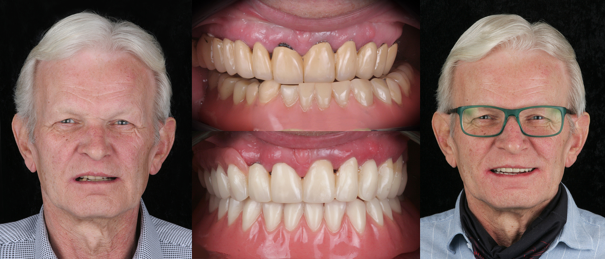
Vorher-Nachher-Galerie
Hier finden Sie dokumentierte Behandlungsfälle aus unserer Praxis.
Die Publikation der Bilder von Zähnen und Gesicht erfolgte mit der ausdrücklichen schriftlichen Genehmigung der Patienten.
Die Bilder laden Sie im Admin direkt in die Galerie hoch und können jedem Fall eine eigene Beschriftung geben.
